Archive of posts tagged animation
Joe Ringer
Today I stumbled across an animation app for the iPad. I quickly paid the $2 cost and installed it on my friend’s iPad. After 10-15 minutes, I had this:
The app is Animation Creator HD by http://www.red-software.com/achd. I am very happy with this app and plan on making a lot more animations!
noooo
kat anim
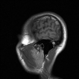
One MRI Sunday Morning…
First off, here are the sketch book sketches for the day:
I had an MRI done this Sunday Morning @ 9am. I asked for a copy of the images. Check out this animation that I made with some of the pictures:

Cool, innit? One thing – why am I being reminded of a certain cranially challenged cartoon character?
HAHAOEHOAEHOAEHOAEHAEO
P.S. I took a while to *pinkify* my image so you’d better like it!






